产品简介
10x Visium HD是新一代高清、全覆盖、单细胞级别分辨率的空间转录组技术,与上一代10x Visium Cytassist相比,通过无间隙捕获消除组织检测盲区,大大提高了它的分辨率。在全转录组覆盖基础上进一步实现了组织样本无间隙的全覆盖,能够解析精细组织超微结构、稀有细胞亚群的空间分布及细胞互作,更适配肿瘤异质性、神经环路分区、发育精细调控等需要高分辨率空间解析的研究场景。
10x Visium HD通过自动化探针转移技术,将标准载玻片上FFPE、冰冻包埋等多类组织切片的转录组信息精准捕获至Visium捕获玻片,支持先染色选优质切片再分析,有2种捕获面积【6.5mm x 6.5mm和11mm x 11mm】选择,全流程自动化集成使结果稳定可靠,大幅拓展了空间转录组研究的样本范围与应用场景。
左图:小鼠胚胎样本;右图:小鼠半脑样本
技术原理
升级后的10x Visium HD芯片采用无间隙连续点阵式阵列【组织样本的全覆盖检测】设计,由均匀排布的方形捕获单元构成,单个单元为边长2μm的正方形【分辨率:2μm】,相邻单元之间无间距。
10x Visium HD芯片设计图
6.5mm×6.5mm捕获区内集成约1120万个捕获单元;每个捕获单元搭载含空间条形码、UMI及Poly(dT)序列的寡核苷酸探针库,通过探针对设计与样本中mRNA靶向结合,实现单细胞尺度的、人/小鼠【全转录组覆盖】的特异性捕获。
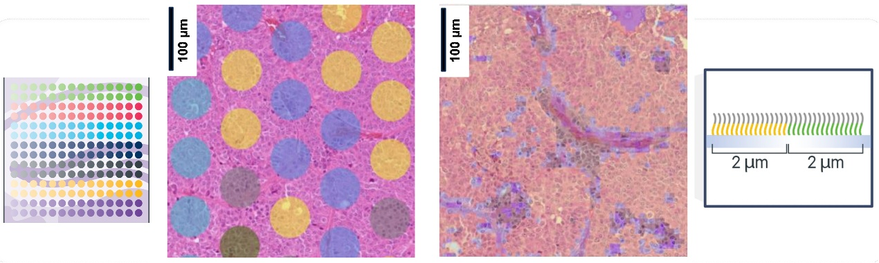
左图:10x Visium Cytassist检测结果;右图:10x Visium HD检测结果
检测流程
新鲜冷冻组织为例:样本经OCT包埋后,切10μm切片置于Visium玻片,H&E染色获取形态图;透化释放mRNA,与探针结合并原位反转录生成带空间条形码和UMI的cDNA;洗脱cDNA构建测序文库;测序分析后将表达数据映射到组织图像,得到空间转录组图谱。
10x Visium HD实验全流程
联川生物10x Visium HD技术优势和特点
1.全组织覆盖检测
10x Visium HD技术采用无间隙、高密度捕获阵列设计,以2μm×2μm的条形码捕获单元紧密排布,实现对组织切片的连续全覆盖,彻底消除传统空间转录组的捕获间隙与检测盲区。无论组织形态复杂与否,都能完整保留全部区域的转录本信息,精准捕捉微小结构、细胞边界与局部微环境的表达差异,为精细解剖组织分区、识别稀有细胞类群、解析细胞空间排布提供无遗漏的数据基础,真正做到组织空间信息“零丢失”。
2.全转录本覆盖检测
联川生物10x Visium HD技术采用全转录组捕获策略,可对组织切片内全部mRNA进行高效捕获,靶向性探针覆盖人、小鼠基因组中18000-20000个基因。依托探针特异性杂交,兼顾FF与FFPE样本,基因检出率高、数据稳定性强,能完整还原组织内基因表达全貌,为疾病机制、发育调控、肿瘤异质性等研究提供全面的转录本信息,满足深度挖掘与从头发现的需求。
3.高清分辨率的高通量空间转录组技术
10x Visium HD作为高清分辨率的高通量空间转录组技术,将捕获分辨率提升至单细胞级别,能够在保持高通量、全转录组检测的基础上,实现对组织内精细空间结构的精准解析。它既保留了大规模、全基因组水平的转录本检测能力,又通过高密度条形码阵列大幅提升空间定位精度,可清晰揭示细胞边界、亚区域微环境、细胞邻近关系等细微表达特征,真正实现“高通量检测”与“高清空间分辨率”的兼顾,为肿瘤异质性、免疫微环境等高精度空间研究提供强有力的技术支撑。
4.合理、准确的细胞分割策略
10x Visium HD以2×2μm无间隙方形捕获单元为基础,支持8μm标准化归bin(每16个spot组成的小正方形区域作为一个细胞)及自定义尺寸调整,平衡高分辨率与分析效率;也可以通过细胞分割可通过Space Ranger内置StarDist算法或Bin2Cell软件(基于H&E图像自动化精准分割单个细胞)等第三方工具实现,首先通过同片的HE染色结果去识别每个细胞的细胞核,然后以细胞核位置为锚点,结合转录本在空间上的密度分布与形态学轮廓信息,对细胞边界进行精准分割与归属判定。
5.更优秀的转录本弥散控制
空间转录组数据分析长期存在一种转录本的弥散现象:mRNA会向周围发生细微的扩展现象。10x Visium HD通过优化组织透化条件、调整反应时间并强化捕获效率,从实验层面显著降低了mRNA的扩散偏移,让转录本更精准地停留在其原始细胞所在的空间位置。结合高精度的空间坐标与优化的细胞分割算法,可有效过滤弥散造成的背景信号干扰,避免相邻细胞间的表达信号互相混淆,大幅提升基因定位的准确性。
6.多样化、个性化的分析流程
联川生物提供定制化空间转录组分析流程,从基础质控、表达定量、空间聚类,到细胞类型反卷积、差异基因挖掘、空间共表达网络分析,均可按研究方向灵活调整。支持组织形态与表达数据联合可视化、肿瘤微环境等个性化分析模块,结合【联川生物星云云平台(可点击)】实现交互式图表与在线可视化,快速产出符合高分期刊标准的分析结果,适配基础科研、临床转化、药物研发等不同场景。

